Jeevan Biosciences has experience and expertise in ADME/toxicology evaluations of drug candidates as substrates, inhibitors and inducers of drug-metabolizing enzymes. Our cell models provide significant value to our customers by putting a human disease in a dish, increasing efficacy, reducing time to market, and making a significant contribution in the growing field of personalized medicine. Our cell models do not require FDA approvals.
Nanoparticle and Drug Delivery System Development
Jeevan Biosciences has patented technology for drug targeting through nanoparticle technology. Targeting drugs to a specific site provides several advantages over non-specific sites such as preventing side effects of drugs while enhancing uptake by targeted cells. This approach may prevent tumor reoccurrences which are believe to be associated with the presence of CSCs.
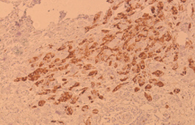
Histology (Tissue) Stem Cell Profiling
Jeevan Biosciences,Inc (JBI) has developed and characterized a novel biomarker that is specific to tumor CSCs. Using this biomarker, we are able to identify CSCs using fixed, paraffin imbedded, frozen, or fresh tumor tissue. Importantly, using our CSC specific biomarker, JBI can use nanoparticles to deliver drugs directly to CSCs, offering a targeted therapeutic option.
For more information, please contact us at info@www.jeevanbiosciences.com

