
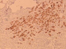
Efficiency of CSC drug targeting can be measure through histological staining. Jeevan Biosciences has patented technology to identify and quantify CSCs pre- and post-drug treatment. In addition we are able to identify drug resistant populations of CSCs as well as CSCs that are quiescent or actively growing. Our technology is compatible with fresh, frozen, or paraffin embedded tissue samples. This service offers clients the ability to determine if CSCs are present and if the treatment is properly targeting CSCs.
For more information, please contact us at info@www.jeevanbiosciences.com
